Frictional asymptomatic darkening of the extensor surfaces (FADES) is an uncommon skin disorder. Clinically, it appears as symmetrical brownish patches on the extensor surface of the elbows [1]. Dermoscopically, little is known about it. We herein revealed some dermoscopic features on a FADES patient that might provide clues for its diagnosis.
A 46-year-old Chinese male was seen in May 2014, complaining of a seasonal variation of a brownish skin discoloration on his elbows. The lesion has tended to appear yearly in summer, and then alleviated and completely disappeared in winter for 10 years. He was otherwise in a good health, and denied any abnormal sensations and history of exposure to chemicals. There was a frequent friction of the elbow directly against the desk surface for everyday working reasons, especially in summer. On examination, velvet, brownish and hyperkeratotic lesions were distributed over the extensor surface of both elbows and extended to the neighbouring skin area. Erythemas or scales were unnoticeable (Figure 1). Other parts of the skin were normal. Clinical examination with dermoscopy was performed. Dermoscopic images from each lesion were obtained using a lens (Dermoscope Delta 20; Heine, Herrsching, Germany), mounted on a Cannon EOS 550 camera. Compared to the normal skin area, the lesion showed multiple, sparse brownish uniformly-sized clods in some parts of interconnecting white lines. Small white dots were surrounded by brownish clods (Figure 2). Skin biopsy revealed hyperkeratosis, hypergranulosis and pronounced epidermal invagination due to papillomatosis. There was a sparse infiltration of lymphocytes around superficial vessels (Figure 3). All these indicated the diagnosis of FADES. A 2-month application of 0.1% Tretinoin cream and avoidance of direct friction resulted in complete regression of the lesions much earlier before the onset of autumn that year, and did not relapse ever since.
Figure 1
Velvet, brownish and hyperkeratotic patches were distributed over the extensor surface of both elbows and extended to the neighbouring skin area. Erythemas or scales were unnoticeable

Figure 2
Dermoscopic examination of the lesion revealed multiple, sparse, brownish, and uniformly-sized clods (red arrows) in some parts of interconnecting white lines (green arrows). Besides, small white dots were seen with adjacent brownish clods (blue circles)

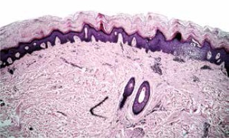
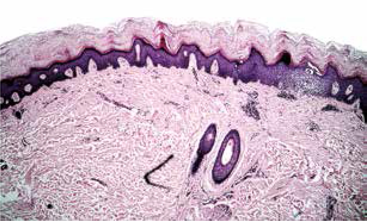
Figure 3
Skin biopsy revealed hyperkeratosis, hypergranulosis and pronounced epidermal invagination due to papillomatosis. There was a sparse infiltration of lymphocytes around superficial vessels (HE; 100×)

The FADES is an uncommon frictional skin disorder that was first defined by Krishnamurthy et al. in 2005 [1]. It is characterized by a uniform, asymptomatic and brown darkening over the extensor surfaces of the elbows and knees [1–4]. However, similar cases had been reported previously. In 1954, Ber et al. described a form of hyperkeratinization of the elbows and knees which they ascribed it to the localized high pressure on it [5]. Shortly after that, Dahl [6] reported another patient with chronic pulmonary emphysema who similarly developed asymptomatic hyperpigmentation on the anterior distal thighs, which was a direct consequence of characteristic “dyspnoeic posture” (leaning forward, supporting the weight of the trunk by placing hands or elbows on thighs just above the knees). Krishnamurthy et al. believed that a localized friction attributed to the pathogenesis of the above cases. Our case was inconsistent with these clinical features. Pathologic findings of FADES may consist of hyperkeratosis, acanthosis, papillomatosis, with minimal underlying inflammation [1].
Dermoscopy is a well-established diagnostic tool to improve the clinical recognition of a broad spectrum of skin disorders. Up to now, no dermoscopic inspection has been recorded in FADES probably due to limited reported cases. Dermoscopically, in this case, we observed multiple, sparse, brownish, and uniformly-sized clods in some parts of interconnecting white lines. Besides, small white dots were seen with surrounding brownish clods.
We believe the above dermoscopic clues may aid the diagnosis of FADES; however, its potential diagnostic value should be confirmed in a larger group of patients.