Mammografia trójwymiarowa piersi wykrywa więcej nowotworów
Działy:
Doniesienia naukowe
Aktualności
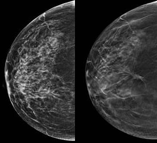
Mammografia trójwymiarowa wykorzystująca zaawansowane techniki obrazowania piersi, określana mianem cyfrowej tomosyntezy piersi, wykrywa znacznie więcej nowotworów piersi niż standardowa mammografia cyfrowa i może potencjalnie zmniejszyć dawkę promieniowania oraz obciążenie związane z badaniami przesiewowymi w kierunku raka piersi - mówią szwedzcy badacze.
W przyszłości tomosynteza piersi mogłaby zastąpić mammografię w badaniach przesiewowych w kierunku raka piersi, sugerują dr Sophia Zackrisson z Uniwersytetu w Lund i współpracownicy Szpitala Uniwersyteckiego Skåne w Malmö, w Szwecji.
W przypadku badania przesiewowego Tomossonthesis Malmö ( MBTST ) prawie 15 000 kobiet poddano badaniom przesiewowym za pomocą zarówno mammografii, jak i jednokierunkowej cyfrowej wersji tomosyntezy piersi, która wykorzystuje małe dawki promieniowania rentgenowskiego do otrzymywania wielu obrazów piersi.
Tomosynteza miała wyższą czułość niż mammografia do wykrywania raka piersi.Ogólnie rzecz ujmując, im bardziej zaawansowana współczesna technika, tym wykryła znacznie wyższy odsetek wykrytych nowotworów, niż w standardowej mammografii.
Jeśli wyniki te są poparte analizami efektywności kosztowej, istnieje uzasadnienie dla rozważenia jednokierunkowej cyfrowej tomosynteza piersi jej jako preferowanej metody badania przesiewowego raka piersi w przyszłości, uważają naukowcy.
W cyfrowej tomosyntezie piersi uzyskuje się quasi-trójwymiarowe obrazy zestawu cienkich plasterków piersi, bez efekt nakładania się, jaki można zaobserwować w standardowej mammografii.
Do prospektywnego badania MBTST zaproszono 21 691 kobiet w wieku od 40 do 74 lat na przestrzeni lat 2010 - 2015 r. - 14 851 (68%) wyraziło zgodę na uczestniczenie w badaniu. Średni wiek na początku badania wynosił 57 lat, a wszyscy uczestnicy byli obserwowani aż do następnej oceny w ciągu 1,5 do 2 lat, w zależności od ich wieku.Średnia dawka promieniowania była niższa w przypadku tomosyntezy niż w przypadku mammografii, przy 2,3 mGy wobec 2,7 mGy, jak również średnia siła kompresji - 71 N w stosunku do 118 N.
Wskaźnik wykrywania raka na 1000 kobiet poddanych badaniom był znacznie wyższy w przypadku tomosyntezy cyfrowej niż w przypadku mammografii cyfrowej, przy 8,7 w porównaniu z 6,5, podobnie jak współczynnik przypomnienia, przy 3,6% w porównaniu z 2,5% ( P <.0001 w przypadku obu).
Dwadzieścia dwa nowotwory wykryto w trakcie kontrolnego badania przesiewowego, co daje częstość występowania raka 1,48 na 1000 kobiet poddanych badaniu przesiewowemu.
W przypadku badania przesiewowego Tomossonthesis Malmö ( MBTST ) prawie 15 000 kobiet poddano badaniom przesiewowym za pomocą zarówno mammografii, jak i jednokierunkowej cyfrowej wersji tomosyntezy piersi, która wykorzystuje małe dawki promieniowania rentgenowskiego do otrzymywania wielu obrazów piersi.
Tomosynteza miała wyższą czułość niż mammografia do wykrywania raka piersi.Ogólnie rzecz ujmując, im bardziej zaawansowana współczesna technika, tym wykryła znacznie wyższy odsetek wykrytych nowotworów, niż w standardowej mammografii.
Jeśli wyniki te są poparte analizami efektywności kosztowej, istnieje uzasadnienie dla rozważenia jednokierunkowej cyfrowej tomosynteza piersi jej jako preferowanej metody badania przesiewowego raka piersi w przyszłości, uważają naukowcy.
W cyfrowej tomosyntezie piersi uzyskuje się quasi-trójwymiarowe obrazy zestawu cienkich plasterków piersi, bez efekt nakładania się, jaki można zaobserwować w standardowej mammografii.
Do prospektywnego badania MBTST zaproszono 21 691 kobiet w wieku od 40 do 74 lat na przestrzeni lat 2010 - 2015 r. - 14 851 (68%) wyraziło zgodę na uczestniczenie w badaniu. Średni wiek na początku badania wynosił 57 lat, a wszyscy uczestnicy byli obserwowani aż do następnej oceny w ciągu 1,5 do 2 lat, w zależności od ich wieku.Średnia dawka promieniowania była niższa w przypadku tomosyntezy niż w przypadku mammografii, przy 2,3 mGy wobec 2,7 mGy, jak również średnia siła kompresji - 71 N w stosunku do 118 N.
Wskaźnik wykrywania raka na 1000 kobiet poddanych badaniom był znacznie wyższy w przypadku tomosyntezy cyfrowej niż w przypadku mammografii cyfrowej, przy 8,7 w porównaniu z 6,5, podobnie jak współczynnik przypomnienia, przy 3,6% w porównaniu z 2,5% ( P <.0001 w przypadku obu).
Dwadzieścia dwa nowotwory wykryto w trakcie kontrolnego badania przesiewowego, co daje częstość występowania raka 1,48 na 1000 kobiet poddanych badaniu przesiewowemu.
Przegląd Menopauzalny