22.05.2013
Autor:
Katarzyna Bakalarska
Źródło: Tanizawa K et al. The prognostic value of HRCT in myositis-associates interstitial lung disease, Respiratory Medicine (2013), http://dx.doi.org/10.1016/j.rmed.2013.01.014.
Śródmiąższowa choroba płuc u pacjentów z PM/DM
W grupie 51 chorych w jednoczynnikowej analizie wykazano, że DM z nieznacznymi lub bez klinicznych cech zajęcia mięśni (amyopathic DM, ADM), gorączka powyżej 38 st.C, stężenie ferrytyny przekraczające 500ng/ml, obecność przeciwciał anty-CADM-140 oraz występowanie zmian śródmiąższowych pod postacią zagęszczeń zlokalizowanych poniżej poziomu dolnych żył płucnych obwodowo lub okołooskrzelikowo lub o typie matowej szyby, wykazywały istotny związek z 90- dniową śmiertelnością.
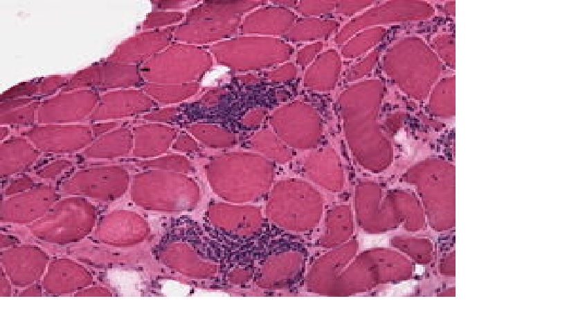
Śródmiąższowa choroba płuc związana z miopatiami zapalnymi: zapaleniem wielomięśniowym i skórnomięśniowym (PM/DM-ILD), może mieć zróżnicowany przebieg kliniczny. Sugeruje się, że rozległość zmian śródmiąższowych oceniana metodą HRCT, może korelować z obecnością określonego typu przeciwciał charakterystycznych dla zapaleń mięśni – przeciwciał anty-CADM-140. Obecność tych przeciwciał związana jest z większą śmiertelnością oraz gorszym rokowaniem w porównaiu z występowaniem przeciwciał skierowanych przeciw syntetazie aminoacylo-tRNA.
Badacze japońscy oceniali przydatność tomografii wysokiej rozdzielczości (HRCT) w ocenie rokowania u pacjentów z rozpoznaiem PM/DM. W grupie 51 chorych w jednoczynnikowej analizie wykazano, że DM z nieznacznymi lub bez klinicznych cech zajęcia mięśni (amyopathic DM, ADM), gorączka powyżej 38 st.C, stężenie ferrytyny przekraczające 500ng/ml, obecność przeciwciał anty-CADM-140 oraz występowanie zmian śródmiąższowych pod postacią zagęszczeń zlokalizowanych poniżej poziomu dolnych żył płucnych obwodowo lub okołooskrzelikowo lub o typie matowej szyby, wykazywały istotny związek z 90- dniową śmiertelnością. Analiza wieloczynnikowa wykazała, iż obecność opisanych wyżej zmian śródmiąższowych oraz przeciwciał anty-CADM-140 były niezależnymi czynnikami ryzyka 90-dniowej śmiertelności. Opisywane zminy śródmiąższowe mogą występować pod postacią m.in. zorganizowanego zapalenia płuc (organized pneumonia, OP) lub rozlanego uszkodzenia pęcherzyków płucnych (diffuse alveolar damage, DAD) i przebiegać z gwałtownie postępującą niewydolnością oddechową. Wydaję się, że przebieg PM/DM-ILD może być zróżnicowany w zależności od populacji (ADM źle rokuje w populacji japońskiej, w populacji zachodniej odznacza się natomiast dobrym rokowaniem; ponadto występowanie przeciwciał anty-CADM-140 częściej odnotowywane jest w krajach azjatyckich).
Badacze japońscy oceniali przydatność tomografii wysokiej rozdzielczości (HRCT) w ocenie rokowania u pacjentów z rozpoznaiem PM/DM. W grupie 51 chorych w jednoczynnikowej analizie wykazano, że DM z nieznacznymi lub bez klinicznych cech zajęcia mięśni (amyopathic DM, ADM), gorączka powyżej 38 st.C, stężenie ferrytyny przekraczające 500ng/ml, obecność przeciwciał anty-CADM-140 oraz występowanie zmian śródmiąższowych pod postacią zagęszczeń zlokalizowanych poniżej poziomu dolnych żył płucnych obwodowo lub okołooskrzelikowo lub o typie matowej szyby, wykazywały istotny związek z 90- dniową śmiertelnością. Analiza wieloczynnikowa wykazała, iż obecność opisanych wyżej zmian śródmiąższowych oraz przeciwciał anty-CADM-140 były niezależnymi czynnikami ryzyka 90-dniowej śmiertelności. Opisywane zminy śródmiąższowe mogą występować pod postacią m.in. zorganizowanego zapalenia płuc (organized pneumonia, OP) lub rozlanego uszkodzenia pęcherzyków płucnych (diffuse alveolar damage, DAD) i przebiegać z gwałtownie postępującą niewydolnością oddechową. Wydaję się, że przebieg PM/DM-ILD może być zróżnicowany w zależności od populacji (ADM źle rokuje w populacji japońskiej, w populacji zachodniej odznacza się natomiast dobrym rokowaniem; ponadto występowanie przeciwciał anty-CADM-140 częściej odnotowywane jest w krajach azjatyckich).
Kategorie:
Inne układowe choroby tkanki łącznej

