ONKOLOGIA
Gruczoły wydzielania wewnętrznego
Specjalizacje, Kategorie, Działy
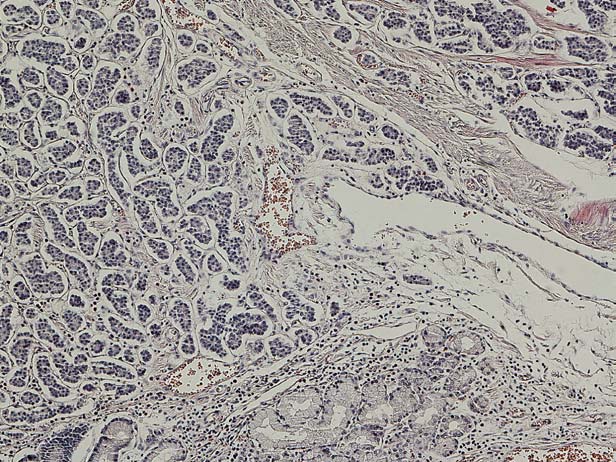
Obraz mikroskopowy guza neuroendokrynnego żołądka. Barwienie HE, powiększenie 10 ×
Obraz mikroskopowy guza neuroendokrynnego żołądka. Barwienie HE, powiększenie 10 ×

Guz neuroendokrynny żołądka u kobiety z zespołem Turnera – opis przypadku

Udostępnij:
W pracy przedstawiono niezmiernie rzadki przypadek 38-letniej kobiety z zespołem Turnera i guzem neuroendokrynnym.
Artykuł dostępny wyłącznie dla:
lekarz, lekarz dentysta, lekarz w trakcie specjalizacji.
Zaloguj się, aby przeczytać pełną treść artykułu.
Login lub email:
Hasło:
Nie mam jeszcze konta
Utwórz darmowe konto Termedia.
Zarejestruj się
Nie pamiętam hasła
Skorzystaj z opcji przypominania hasła aby odzyskać dostęp do swojego konta Termedia.
Nie pamiętam hasła
 
© 2026 Termedia Sp. z o.o. All rights reserved.
Developed by Bentus.