Specjalizacje, Kategorie, Działy
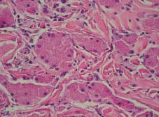
Gniazda owalnych i różnokształtnych komórek nowotworowych z drobnoziarnistą, eozynochłonną cytoplazmą i hiperchromatycznymi centralnie położonymi jądrami komórkowymi (barwienie H + E – hematoksylina i eozyna)
Gniazda owalnych i różnokształtnych komórek nowotworowych z drobnoziarnistą, eozynochłonną cytoplazmą i hiperchromatycznymi centralnie położonymi jądrami komórkowymi (barwienie H + E – hematoksylina i eozyna)

Guz ziarnistokomórkowy mięśnia brzuchatego łydki – opis przypadku

Udostępnij:
Kategorie: Inne
Działy: Doniesienia naukowe Aktualności
Guz ziarnistokomórkowy (granular cell tumour – GCT), zwany inaczej guzem Abrikosowa, jest rzadkim nowotworem wywodzącym się z neuroektodermy. Częstość występowania GCT szacuje się na ok. 0,019–0,03% wszystkich nowotworów. Pojawia się on najczęściej między 40. a 60. rokiem życia, częściej u kobiet i osób rasy czarnej. Opisywano występowanie GCT praktycznie w każdej okolicy ciała, jednak najczęstszą lokalizacją, stanowiącą ponad połowę przypadków, są tkanki miękkie głowy i szyi. W zdecydowanej większości przypadków guz występuje w postaci łagodnej. Autorzy przedstawiają niezwykle rzadki przypadek GCT zlokalizowanego na mięśniu brzuchatym łydki. Obraz mikroskopowy komórek z obfitą kwasochłonną cytoplazmą i zawartością licznych ziarnistości oraz dodatni wynik badania immunohistochemicznego w kierunku białka S-100 potwierdziły rozpoznanie GCT opisanego przypadku. W 8 miesięcy po radykalnym usunięciu zmiany nie obserwuje się cech wznowy miejscowej.
Artykuł dostępny wyłącznie dla:
lekarz, lekarz dentysta, lekarz w trakcie specjalizacji.
Zaloguj się, aby przeczytać pełną treść artykułu.
Login lub email:
Hasło:
Nie mam jeszcze konta
Utwórz darmowe konto Termedia.
Zarejestruj się
Nie pamiętam hasła
Skorzystaj z opcji przypominania hasła aby odzyskać dostęp do swojego konta Termedia.
Nie pamiętam hasła
 
© 2026 Termedia Sp. z o.o. All rights reserved.
Developed by Bentus.