Specjalizacje, Kategorie, Działy
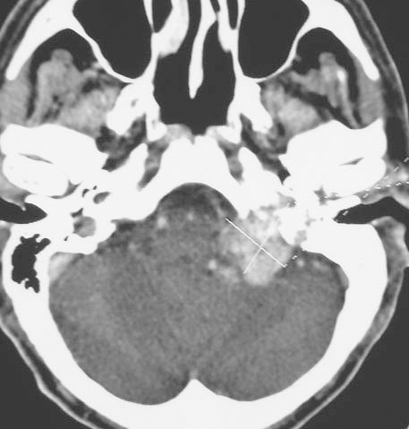
Przyzwojak opuszki żyły szyjnej
Przyzwojak opuszki żyły szyjnej

Metody obrazowania w wykrywaniu i monitorowaniu leczenia przyzwojaków nienadnerczowych głowy i szyi

Udostępnij:
Kategorie: Inne
Działy: Doniesienia naukowe Aktualności
Ocena zastosowania badania tomografii komputerowej (computed tomography – CT) i tomografii rezonansu magnetycznego (magnetic resonance imaging – MRI) w rozpoznawaniu i monitorowaniu leczenia przyzwojaków nienadnerczowych głowy i szyi.
Artykuł dostępny wyłącznie dla:
lekarz, lekarz dentysta, lekarz w trakcie specjalizacji.
Zaloguj się, aby przeczytać pełną treść artykułu.
Login lub email:
Hasło:
Nie mam jeszcze konta
Utwórz darmowe konto Termedia.
Zarejestruj się
Nie pamiętam hasła
Skorzystaj z opcji przypominania hasła aby odzyskać dostęp do swojego konta Termedia.
Nie pamiętam hasła
 
© 2026 Termedia Sp. z o.o. All rights reserved.
Developed by Bentus.