ONKOLOGIA
Gruczoły wydzielania wewnętrznego
Specjalizacje, Kategorie, Działy
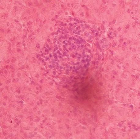
Badanie histopatologiczne fragmentu wątroby. Strzałką zaznaczono obecność nielicznych nacieków limfocytarnych oraz pojedyncze ziarniniaki. Zdjęcie wykonane dzięki uprzejmości prof. dr. hab. Jana Bręborowicza, kierownika Zakładu Patologii Nowotworów Wielko
Badanie histopatologiczne fragmentu wątroby. Strzałką zaznaczono obecność nielicznych nacieków limfocytarnych oraz pojedyncze ziarniniaki. Zdjęcie wykonane dzięki uprzejmości prof. dr. hab. Jana Bręborowicza, kierownika Zakładu Patologii Nowotworów Wielko

Współwystępowanie śledzionowego chłoniaka nieziarniczego strefy brzeżnej (typ SMZL) oraz sarkoidozy. Opis przypadku oraz przegląd piśmiennictwa

Udostępnij:
Śledzionowy chłoniak strefy brzeżnej (splenic marginal zone lymphoma – SMZL) jest chorobą limfoproliferacyjną, którą zalicza się do grupy chłoniaków nieziarniczych (non Hodgkin lymphoma – NHL) o wysokim stopniu zróżnicowania komórek. Chłoniak ten wywodzi się z limfocytów typu B (wg najnowszej klasyfikacji chorób hematologicznych) oraz stanowi ok. 1% wszystkich chłoniaków. Największa zachorowalność dotyczy grupy starszych chorych, opisywana choroba jest natomiast niezwykle rzadka u osób poniżej 30. roku życia.
Artykuł dostępny wyłącznie dla:
lekarz, lekarz dentysta, lekarz w trakcie specjalizacji.
Zaloguj się, aby przeczytać pełną treść artykułu.
Login lub email:
Hasło:
Nie mam jeszcze konta
Utwórz darmowe konto Termedia.
Zarejestruj się
Nie pamiętam hasła
Skorzystaj z opcji przypominania hasła aby odzyskać dostęp do swojego konta Termedia.
Nie pamiętam hasła
 
© 2026 Termedia Sp. z o.o. All rights reserved.
Developed by Bentus.