ONKOLOGIA
Układ moczowo-płciowego
Specjalizacje, Kategorie, Działy
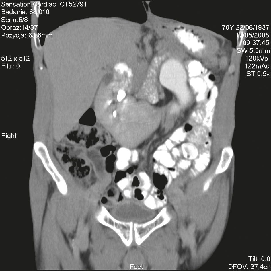
Tomografia komputerowa – nerka podkowiasta z lewostronnym wodonerczem
Tomografia komputerowa – nerka podkowiasta z lewostronnym wodonerczem

Guz moczowodu nerki podkowiastej – opis przypadku

Udostępnij:
W pracy przedstawiono pacjenta z nerką podkowiastą, u którego pierwotny guz moczowodu doprowadził do powstania wodonercza.
Artykuł dostępny wyłącznie dla:
lekarz, lekarz dentysta, lekarz w trakcie specjalizacji.
Zaloguj się, aby przeczytać pełną treść artykułu.
Login lub email:
Hasło:
Nie mam jeszcze konta
Utwórz darmowe konto Termedia.
Zarejestruj się
Nie pamiętam hasła
Skorzystaj z opcji przypominania hasła aby odzyskać dostęp do swojego konta Termedia.
Nie pamiętam hasła
 
© 2026 Termedia Sp. z o.o. All rights reserved.
Developed by Bentus.