Dzień dobry
Dołącz do nas w mediach społecznościowych:
Udostępnij
Redaktor: Aleksandra Lang

Raport mniejszości

Przestępstwa można przewidzieć – twierdzą neurolodzy z USA. Wystarczy do tego skan mózgu. W ten sposób wizja filmu ("Raport mniejszości") Stevena Spielberga z Tomem Cruisem w roli głównej przestaje być fikcją.
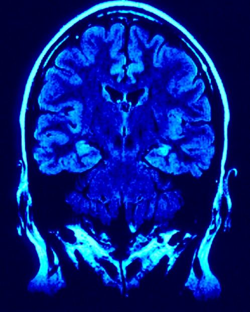
Eksperci z Sieciowego Instytutu Badań Umysłu w Nowym Meksyku prowadzili badania z udziałem prawie 100 więźniów, których mózgi poddano skanowaniu rezonansem magnetycznym. Na podstawie szczegółowych analiz stwierdzono, że można przewidzieć potencjalne zagrożenie popełnienia czynów przestępczych. Zespół prowadzony przez Kenta Kiehla zbadał u więźniów przednią korę obręczy (ACC) - obszar położony w przedniej części mózgu, odpowiedzialny za podejmowanie decyzji. Naukowcy postawili sobie za cel analizę mózgów pod kątem „impulsywności podejmowanych decyzji”. Więźniowie zostali poproszeni, aby w momencie pojawienia się na ekranie komputera litery X szybko nacisnęli przycisk, a po pojawieniu się litery K nie robili niczego. Okazało się, że tylko 16% badanych nie nacisnęło przycisku po pojawieniu się litery K. Wyniki badania wykazały, że więźniowie popełniający więcej błędów mieli niższą aktywność w ACC. To wskazuje na wyższą skłonność do działania impulsywnego - bez zastanowienia. Następnym krokiem była obserwacja więźniów przez cztery lata po zwolnieniu. Z analiz dokumentacji policyjnej wynikało, że skazańcy, którzy mieli niższy poziom aktywności w ACC podczas badania przed komputerem, mieli zarazem większe ryzyko ponownego aresztowania w ciągu najbliższych czterech lat: 60 proc. osób z niższym poziomem aktywności ACC zostało ponownie aresztowanych. Zdaniem badaczy z Nowego Meksyku czynnikami ryzyka był wiek, nadużywanie narkotyków i alkoholu oraz cechy psychopatyczne. Mężczyźni z niższym poziomem aktywności ACC byli ponownie aresztowani 4,6 razy częściej niż pozostali. Przy tej okazji przypomniano badania z 2012 r. w których wykazano, że silnym predykatorem do określonych działań mogą być geny, oraz …. zbyt częste oglądanie telewizji, co ma prowadzić do wyobcowania i zachowań aspołecznych.
Źródło:
MNT, JS
Działy: Poinformowano nas Aktualności